Dr. Riemer Dental Group
At Dr. Riemer Dental Group, we are committed to using state-of-the-art technology to deliver top-notch dental care. Our advanced techniques enable us to provide precise and efficient treatments, ensuring the best possible outcomes. By prioritizing comfort and satisfaction, we aim to build lasting relationships with each patient as they achieve optimal oral health under our expert guidance.
Proudly Serving Our Community For 20 Years!
Dr. Riemer Dental Group has been dedicated to serving active duty members and their families for the past two decades, providing top-notch dental care tailored to meet their unique needs. In addition to our commitment to military families, we are proud to also serve farmers, local educators, and their loved ones with the same level of care and compassion. Our team understands the demands of these professions and works tirelessly to ensure that every patient leaves our office with a healthy smile.
OFFICE TOUR
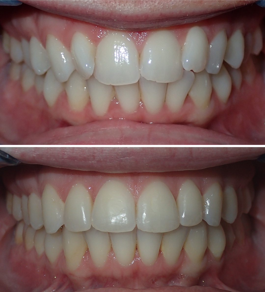
Your Best Smile Is Our Priority
Family/Children Dentistry
Experience gentle and specialized care for you and your little ones at our family/children dentistry practice.
Are you looking for a family/children dental practice? Our team of compassionate and skilled professionals is dedicated to providing the highest quality dental care in a warm and welcoming environment. When you visit us, rest assured that your family's smiles are in good hands.Orthodontics
Say goodbye to crooked teeth and hello to confidence with our customized orthodontic treatment plans.
Looking for a solution to achieve that perfect smile? Look no further than our orthodontic treatment options - Invisalign aligners and Damon braces. Say goodbye to traditional metal braces and hello to discreet, comfortable, and convenient treatment options that will straighten your teeth with ease.Sleep Apnea
Say goodbye to restless nights and groggy mornings with our revolutionary treatment for sleep apnea.
Tired of tossing and turning all night, only to wake up feeling exhausted? Our cutting-edge technology targets the root cause of your sleep disturbances, ensuring that you get a full night's rest without interruption. Don't let sleep apnea control your life any longer.Cosmetic Dentistry
Achieve your dream smile with the help of cosmetic dentistry options like teeth whitening and veneers.
Ready to transform your smile and achieve the confidence you've always dreamed of? With cosmetic dentistry options like teeth whitening, veneers, dental implants, gum contouring, and dental bonding, you can finally have the perfect smile you deserve. Unlock the potential of your dream smile today.Meet Our Doctors
Hablamos español. Falamos portugues
At Dr. Riemer Dental Group, we always strive to create a welcoming atmosphere for all patients, regardless of their language preference. Dr. Riemer and her team are fluent in Spanish and Portuguese, ensuring seamless communication with everyone who walks through our doors. So, whether you prefer English, Spanish, or Portuguese during your visit, we will go above and beyond to accommodate your needs.

